R. Bras. Zootec.01/abr/2017;46(4):317-23.
Biometry and ultrasound evaluation of testicles and accessory glands in Santa Ines rams
DOI: 10.1590/S1806-92902017000400007
ABSTRACT
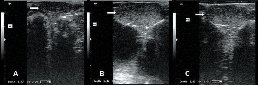
This work aimed to investigate the relationship between echogenicity, testicular biometry, and accessory gland biometry and evaluate the echogenicity pattern of these structures in Santa Ines rams. Fifty-four healthy Santa Ines sheep were classified into three age groups: group 1 – 3 to 5 months (pre-pubertal); group 2 – 7 to 11 months (pubertal); and group 3 – 13 to 28 months (sexually mature). The averages of testicular biometry and bulbourethral gland biometry were different among age groups. The testicular parenchyma was homogeneous with low echogenicity (pre-pubertal group) and medium echogenicity (pubertal and sexually mature groups), suggesting that testicular echogenicity can be a helpful tool to identify the start of puberty. The accessory glands were heterogeneous with low echogenicity in all age groups. Correlations were high between weight, biometry of testis and of bulbourethral gland and echogenicity of the accessory glands, indicating that sexually mature rams with higher body development have larger testicles and larger glands. We recommend the use of testicular biometry as a complementary evaluation of the reproductive efficiency of Santa Ines rams. The average values of echogenicity and the biometry of accessory glands are important parameters to assist the selection of breeding rams.
Palavras-chave: ovine; testicle; ultrasonography

